Unsere Leistungen
Von der gynäkologischen Routineversorgung bis zur ganzheitlichen Naturheilkunde – alles aus einer Hand.
Frauenheilkunde
Wir bieten Ihnen eine umfassende gynäkologische Betreuung – von der jährlichen Krebsvorsorge bis zur spezialisierten Diagnostik. Dabei legen wir besonderen Wert auf eine gründliche und einfühlsame Untersuchung.
Die jährliche Krebsvorsorge ist bei uns in guten Händen. Zwischenuntersuchungen erfolgen bei Pillen- oder Hormoneinnahme, Spirale sowie bei kontrollbedürftigen Befunden. Nachsorge nach Krebserkrankungen findet vierteljährlich statt.
Verhütungsberatung, Pillenrezept, Spiral-Einlage und -Kontrolle, Behandlung von Entzündungen, Hormonstörungen und weiteren gynäkologischen Erkrankungen.
Für die Online-Terminbuchung stehen reguläre Untersuchungen zur Verfügung. Hormonberatungstermine bitten wir Sie, telefonisch zu vereinbaren: 0531 349 95 95
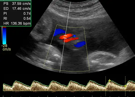
Hightech-Diagnostik
Mit modernsten Ultraschallgeräten und spezialisierter Diagnostik bieten wir Ihnen ein breites Spektrum an bildgebenden Verfahren – präzise, sicher und schonend.
Spezialisierte Ultraschalluntersuchung der Brust zur Früherkennung und Abklärung von Befunden – ergänzend oder alternativ zur Mammographie.
Darstellung von Blutfluss und Gefäßstrukturen – wichtig für die Abklärung von Zysten, Myomen und anderen Veränderungen.
Dreidimensionale Darstellung für eine detaillierte Beurteilung – modern, präzise und informativ.
Pränatale Untersuchung im ersten Trimester der Schwangerschaft zur Risikoabschätzung von Chromosomenstörungen.
Hochauflösende Spiegeluntersuchung des Gebärmutterhalses – für eine präzise Beurteilung auffälliger Zellbefunde.
Naturheilkunde
Unsere Praxis bietet eine fachübergreifende, naturheilkundlich orientierte Versorgung in der Privatsprechstunde. Diagnostisch nutzen wir schulmedizinische Methoden – therapeutisch setzen wir auf die Kraft der Natur.
Ein ganzheitliches Medizinkonzept, das körperliche, seelische und geistige Aspekte der Gesundheit berücksichtigt.
Heilpflanzenkunde mit wissenschaftlichem Fundament – natürliche Wirkstoffe gezielt und sicher eingesetzt.
Sanfte Regulationstherapie mit homöopathischen Komplexmitteln zur Unterstützung der Selbstheilungskräfte.
Aufbau einer gesunden Darmflora und Stärkung des Immunsystems durch gezielte Probiotika und Präbiotika.
Jahrtausendealte chinesische Heilmethode zur Schmerztherapie, Regulation des Hormonsystems und Stressreduktion.
Die naturheilkundliche Behandlung wird in der Privatsprechstunde angeboten. Bitte informieren Sie sich vorab über die Kosten. Wir beraten Sie gerne telefonisch.
Ergänzende Therapien
Neben den klassischen Leistungen bieten wir Ihnen weitere innovative und ergänzende Therapieverfahren an.
Aktivierung des Immunsystems und Förderung der Selbstheilung durch Eigenblutinjektionen.
Elastische Kinesio-Tapes zur Unterstützung bei muskulären Beschwerden, Schwellungen und Schmerzlinderung.
Als Ärztin für Ernährungsmedizin berät Dr. Bredemeier Sie umfassend zu einer gesunden, ausgewogenen Ernährung als Teil Ihrer Therapie.
Hormontherapie
Die bioidentische Hormontherapie nach Rimkus setzt auf körpereigene Hormone in ihrer natürlichen Form. Diese werden individuell und präzise auf Ihre persönlichen Hormonspiegel abgestimmt.
Detaillierte Hormonanalyse als Grundlage einer individuellen Therapieplanung.
Jede Therapie wird individuell auf Ihren Körper und Ihre Bedürfnisse zugeschnitten.
Sanfte Linderung von Wechseljahresbeschwerden und Ausgleich von Hormonstörungen in jedem Lebensalter.
Wichtiger Hinweis: Hormonberatungstermine werden ausschließlich telefonisch vereinbart. Bitte rufen Sie uns an: 0531 349 95 95. Die Online-Buchung ist für reguläre Untersuchungen vorbehalten.